Arthrose de l'arrière-pied

Le pied comprend 26 os. On sépare l'avant-pied de l'arrière-pied. Nous détaillerons ici l'arrière-pied qui comprend les plus gros os de cette région. Nous allons nous concentrer sur 3 os et 2 articulations qui sont les plus fréquemment atteintes: le talus,le naviculaire et la calcaneum (os du talon) . Ceux-ci forment 2 articulations: talo-naviculaire (TN) et sous-talienne (ST)entre talus et calcaneum.

Anatomie et pathologie

Les articulations talo-naviculaire et sous-talienne sont intimement liées.Elles représentent quasiment les 3/4 de la mobilité du pied. Elles vont permettre une adaptation au sol irrégulier en synergie avec l'articulation de la cheville (tibia-fibula et talus). Leurs positions sont fondamentales puisqu'elles sont directement liées à des troubles statiques du pied tels le pied creux et le pied plat.

Ces articulations sont recouvertes de cartilage et du fait de leur grande mobilité, le cartilage peut s'user, voire disparaître. On appelle cela l'arthrose. Or, il est rare d'avoir de l'arthrose à cet endroit. Il existe donc plusieurs facteurs favorisants:

  • pied creux ou pied plat sévères
  • antécédent de fracture
  • maladies inflammatoires (comme la polyarthrite rhumatoide)
  • arthrose idiopathique (sans cause retrouvée), rare

Présentation clinique et traitement

Des douleurs apparaissent sur le coup de pied et en dessous de la malléole externe. Ces douleurs se majorent sur terrain irrégulier. Enfin, le périmètre de marche diminue. Il existe des traitements médicaux possibles même si l'on sait qu'aucun traitement ne permet de faire dispaître l'arthrose:

  • semelles orthopédiques qui consistent à réaxer le pied en bonne position
  • antalgiques et anti-inflammatoires
  • infiltrations articulaires
  • enfin, le traitement le plus efficace sur les douleurs est le blocage de ces articulations (il n'existe pas encore de prothèse).

Traitement  chirurgical des arthroses de l'arrière-pied

Le traitement chirurgical n'est pas anodin. Le traitement chirurgical doit avoir été bien mené et les douleurs doivent être considérées comme intolérables et compromettant une vie "normale".

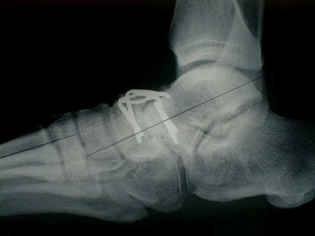
Arthrodèse sous talienne

L'intervention se déroule sous anesthésie générale ou rachianesthésie. Une incision latérale est réalisée, l'articulation est abordée et le cartilage du talus est enlevé ainsi que celui du calcaneum. Ensuite, des trous sont percés dans ces deux os pour aviver et les articulations sont fixées par 2 vis

Arthrodèse talo-naviculaire

L'interventions se déroule sous anesthésie générale ou rachianesthésie. Une incision antérieure sur le coup-de-pied est pratiquée. L'articulation est abordée et le cartilage du talus et du naviculaire est retiré. Ces deux os sont fixés l'un à l'autre par une plaque ou des agrafes métalliques.

Il est à notre que ces 2 interventions peuvent être couplées.

Suites opératoires

Un drain de redon est mis en place et retiré au deuxième jour.

Vous êtes hospitalisé 3 jours après l'opération.

Le lever est autorisé dès le lendemain, l’appui est proscrit pour une durée de six semaines mais varie en fonction de la fixation et des habitudes. La rééducation débute après la levée de l’immobilisation. Afin d’éviter les phlébites, un traitement anticoagulant est prescrit pendant plusieurs semaines.

La marche est reprise après six semaines, protégée par des cannes, avec ou sans une botte de marche. La reprise de la conduite automobile et de l’activité professionnelle dépendront de votre récupération.

Complications

Il s'agit d'une chirurgie un peu plus risquée que les autres chirurgie du pied.

L'arrêt du tabac est strictement interdit, sinon la chirurgie sera annulée. Les principales complications sont:

• Troubles de cicatrisation. Complication la plus redoutée car la peau est mal vascularisée dans cette zone. Le tabac réduit considérablement la vascularisation et majore les risques.

• La phlébite (caillot dans les veines de la jambe) et ses séquelles : malgré la mise en place systématique d’un traitement anticoagulant, une phlébite peut se constituer. Traitée à temps, la phlébite n’altère en rien les résultats fonctionnels de l’intervention. Elle ne se complique d’une embolie pulmonaire  qu’exceptionnellement.
• L’hématome : Le traitement anticoagulant, bien qu’impératif, peut parfois favoriser la formation d’un hématome dans la zone opératoire malgré la mise en place de glace. Il se résorbe souvent spontanément et nécessite rarement un geste opératoire complémentaire d’évacuation.
• L’infection : elle peut survenir précocement mais aussi à distance de l’intervention, les blocs opératoires orthopédiques sont ceux qui ont les mesures d’hygiène les plus draconiennes, pour éviter cela.
• La paralysie d’un nerf : pendant l’intervention, un nerf peut être comprimé, la récupération est le plus souvent obtenue mais peut s’avérer longue.
• Des douleurs résiduelles : malgré le succès de l’intervention, le patient manifeste  des douleurs sans qu’on n’en retrouve d’explication.

Version imprimable | Plan du site
© Docteur Thibault VERMERSCH